Skip to main content
News Icon

News categories: Publication

Less can be more

Low-dose steroids could effectively treat severe kidney inflammation

Will it be possible to treat severe kidney inflammation with fewer drugs in the future? A new study by the University Hospital Bonn (UKB), the University of Bonn, and the University of Hamburg gives cause for hope. The researchers show that even low, repeated doses of steroids could be enough to stop inflammation in particularly aggressive crescentic glomerulonephritis (cGN). The findings, which have now been published in Science Translational Medicine, could fundamentally change the treatment of many patients – and significantly reduce side effects.

cGN is one of the most dangerous forms of kidney inflammation. Without treatment, it can lead to terminal kidney failure within a few weeks. The standard therapy to date consists of high doses of glucocorticoids (steroids), which strongly suppress the immune system. Although these drugs are effective, they are often associated with significant side effects, including diabetes, osteoporosis, and severe infections.

The team led by Professor Christian Kurts, Director of the Institute for Molecular Medicine and Experimental Immunology at the UKB and member of the ImmunoSensation² Cluster of Excellence and the Transdisciplinary Research Area (TRA) “Life and Health” at the University of Bonn, has now investigated in more detail how steroids work in the kidney – and why lower doses may achieve the same effect. Using modern single-cell and spatial gene sequencing and disease models in mice, the researchers identified a specific subgroup of pro-inflammatory neutrophils as immune cells that significantly promote kidney damage. These cells originate directly in the inflamed kidney tissue and remain active there longer than normal neutrophils.

“Our study shows that doctors do not necessarily need extremely high doses of steroids to suppress these cells – small, repeated doses may be sufficient,” explains Prof. Kurts. In the mouse model, the researchers were able to show that low, regularly administered glucocorticoids block the formation of these harmful cells – even without an initial high dose. Kidney biopsies from patients treated with low doses also showed fewer of these immune cells.

“Single-cell sequencing allowed us to track the harmful neutrophils directly in the inflamed kidney,” says Dr. Junping Yin, first author of the study and doctoral student with Prof. Kurts. “This opens up new ways to use steroids in a more targeted and safer manner.”

If the results are confirmed in clinical trials, patients could benefit in the future from safer, low-dose therapies that protect their kidneys without putting unnecessary strain on the body. In the long term, the approach could also have an impact on other autoimmune and inflammatory diseases in which steroids are currently used in high doses.

Participating institutions and funding

The work was funded as part of the Excellence Strategy of the German federal and state governments by the ImmunoSensation² Cluster of Excellence at the University of Bonn and by the German Research Foundation (DFG) through the Collaborative Research Centers SFB 1192, SFBs 1454 and TR237, and IRTG2168.

Publication

Junping Yin et al.: Low-dose glucocorticoids attenuate crescentic glomerulonephritis by inhibiting the local differentiation of proinflammatory neutrophils, in: Science Translational Medicine, 2025, DOI:

 

Scientific contact

Prof. Christian Kurts

Institute for Molecular Medicine and Experimental Immunology at the UKB

ImmunoSensation² and TRA – Life and Health Clusters of Excellence at the University of Bonn

Email: ckurts@uni-bonn.de

 

Press Contact

Jana Schäfer

Deputy Press Officer at the University Hospital Bonn (UKB)

Communications and Media Department at the University Hospital Bonn

Phone: (+49) 228 287-19891

Email: jana.schaefer2@ukbonn.de

Kurts_PM_161025
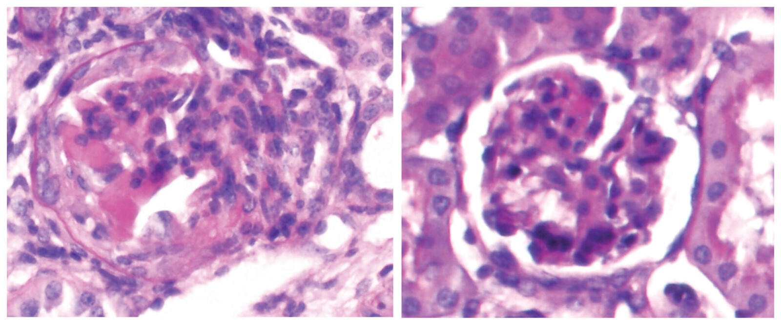
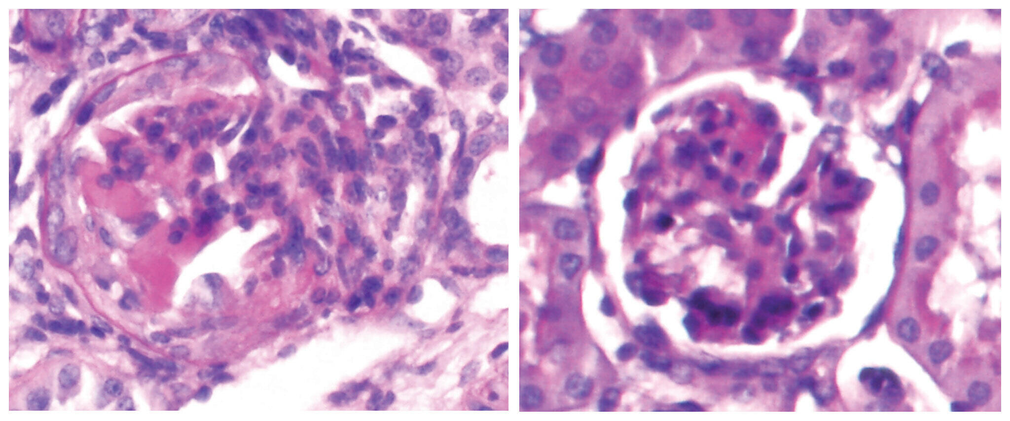
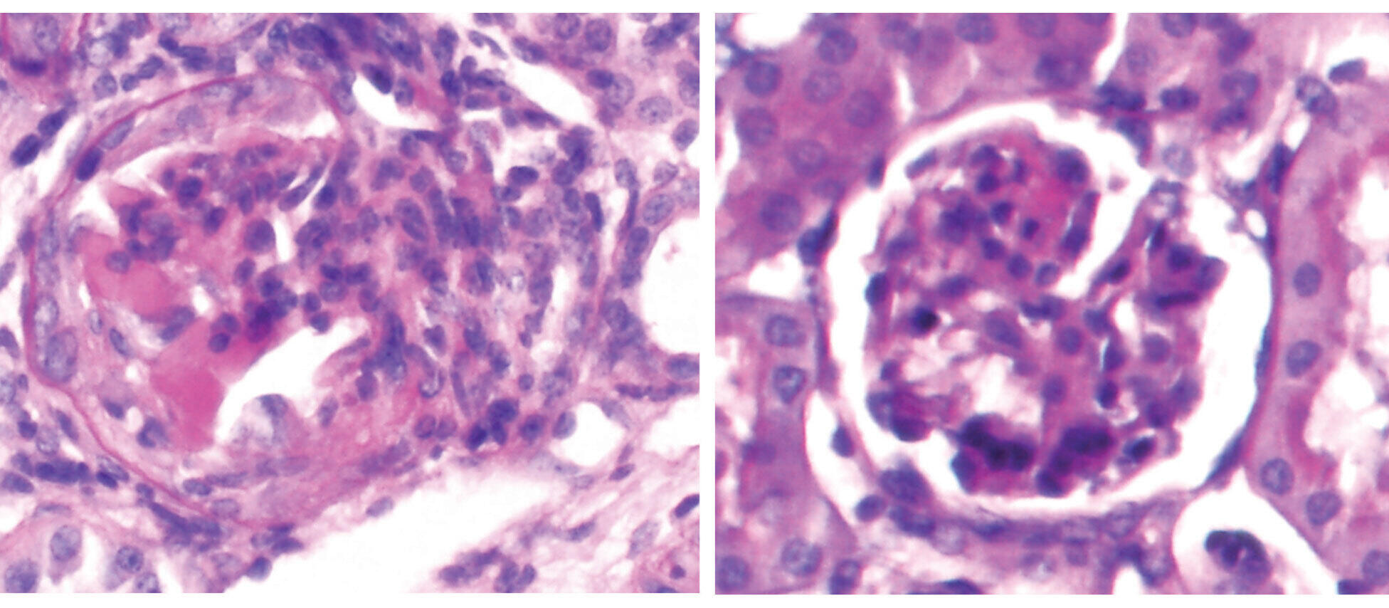
Histological images indicated the damaged glomerulus (left) in the cGN mice and recovered glomerulus (right) in the low dose glucocorticoids treated cGN mice.
© UKB/ AG Prof. Christian Kurts

Related news

News_Lukacs-Kornek

News categories: Publication

Obesity causes lungs to age prematurely

What effects does severe obesity have on the lungs? A research team led by Prof. Dr. Veronika Lukacs-Kornek from the ‘ImmunoSensation2’ Cluster of Excellence at the University of Bonn and the Institute for Molecular Medicine and Experimental Immunology (IMMEI) at the University Hospital Bonn (UKB) investigated this question. The results suggest that obesity causes the lungs to age faster. The findings have been published in the journal ‘Cell Reports’.
View entry
filamentous actin structures in T cells

News categories: Publication

How Cell Skeleton Defects Can Teach Immunology

For immune cells, the actin cytoskeleton is more than a structural scaffold. Immune cells can migrate to sites of infection or form precise, short-lived contacts with other cells, by constantly reshaping their actin cytoskeleton. Genetic errors in the molecular machinery controlling actin dynamics lead to impaired immunity, and often to autoimmunity and chronic inflammation. An overview of the current state of research on immune-related actinopathies, prepared by scientists arround ImmunoSensation² member Prof. Kaan Boztug, has now been published in Nature Reviews Immunology.
View entry
Wachten lab

News categories: Publication

Fat cells under false command

Too much fat can be unhealthy: how fat cells, so-called adipocytes, develop, is crucial for the function of the fat tissue. That is why a team led by researchers from the University Hospital Bonn (UKB) and the University of Bonn investigated the influence of primary cilia dysfunction on adipocyte precursor cells in a mouse model. They found that overactivation of the Hedgehog signaling pathway causes abnormal development into connective tissue-like cells instead of white fat cells. Their findings have now been published in The EMBO Journal.
View entry

Back to the news overview